TRANSFORMING PRECISION MEDICINE AND DIAGNOSTICS WITH VIRTUAL BIOMARKER STAINING
Biomarker detection is vital to the development of precision medicines.
20%
of the world's population will be diagnosed with cancer
35%
of which will be treated with precision medicine
80%
of precision medicine relies on biomarker identification
ViewsML uses virtual biomarker staining
in AI-driven diagnostics, discovering deeper
cell-level insights for better patient outcomes
Receiving biomarker results from a diagnostic lab can take weeks.
Interpretation of results can vary by up to 30% between pathologists.
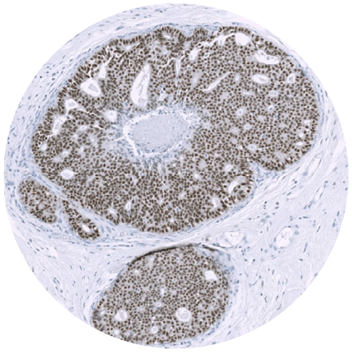
Physical IHC
ViewsML uses deep learning to eliminate physical staining, delivering virtual results in seconds at a fraction of the cost, all the while fitting into existing workflows.
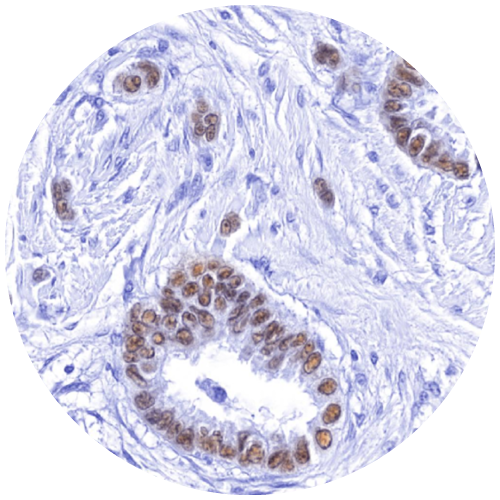
Virtual IHC
Any Biomarker.
Any Therapeutic Area.
Any Species.
Preclinical Research
EXPEDITE
Discovery, toxicity and safety studies
Translational Research
EXPAND
Spatial biology insights of rare tissues with virtual multiplexing
Clinical Research
SCREENING
Better patient selection, increase patient enrollment efficiency
Virtual Diagnostics Assays
TRIAGING
Patient stratification, triaging, and companion diagnostics
Contract Research Organizations
QUICKLY
Improve project turnaround times, provide richer data sets
Any Biomarker.
Any Therapeutic Area.
Any Species.
-
Preclinical Research
EXPEDITE
Discovery, toxicity and safety studies

-
Translational Research
EXPAND
Spatial biology insights of rare tissues with virtual multiplexing

-
Clinical Research
SCREENING
Better patient selection, increase patient enrollment efficiency

-
Virtual Diagnostics Assays
TRIAGING
Patient stratification, triaging, and companion diagnostics

-
Contract Research Organizations
QUICKLY
Improve project turnaround times, provide richer data sets

Advantages of Virtual Staining
Easily integrated into preclinical & clinical workflows
Eliminates time and cost constraints associated with traditional IHC and IF
Multiplexing allows for greater biomarker characterization
Preserves scarce tissue samples
Consistent and reproducible immunostaining, every time
May be trained to any biomarker across any disease type and species

